BLOG

Portuguese Ultrasound Group - Musculoskeletal ®

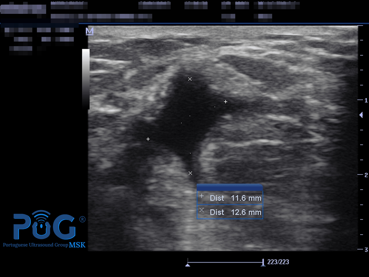
Imagem ecográfica de uma tendinopatia.
Por José Manuel Sánchez-Ibáñez 18 fev, 2020
Existem investigações que sugerem a influência das estatinas na homeostase do tendão, tendo sido observado que estas podem provocar alterações na matriz extracelular (MEC) do tendão, que é composta, principalmente, por colagénio do tipo 1 sintetizado pelos tenócitos.
ECO vs RMN nas entorses da tibiotársica recorrentes e na instabilidade crónica
Por Ft. Óscar Caridade 05 dez, 2019
As lesões por entorse da tibiotársica afetam aproximadamente 10% dos utentes nos cuidados de saúde primários e nos departamentos de emergência hospitalar, ocorrendo numa taxa de 7 em cada 1000 pessoas por ano. Os ligamentos do compartimento lateral do tornozelo são afetados em 85% dos casos, sendo que o ligamento talofibular anterior é o mais afetado de todos, seguido do ligamento calcaneofibular.
High volume image guided injections in shoulder impingement syndrome
Por Ft. Óscar Caridade 21 nov, 2019
Aproximadamente 50% da população mundial refere pelo menos um episódio de dor no ombro todos os anos. A Shoulder Impingement Syndrome é um termo abrangente, que engloba inúmeras condições, podendo envolver patologia em diferentes estruturas anatómicas (tendinopatia da coifa dos rotadores, tendinopatia calcificante, bursite subacromiodeltóidea, entre outras). Será que o High Volume Injection poderá ter algum benefício no Shoulder Impingement Syndrome?
Platelet-rich plasma, hyaluronic acid or ozone in treatment of knee osteoarthritis
Por Ft. Óscar Caridade 14 nov, 2019
A Osteoartrose é a maior causa de disfunção articular, caracterizada por uma perda progressiva da cartilagem articular, alterações na membrana sinovial e no líquido sinovial. As articulações mais frequentemente afetadas são as mãos, joelhos, ancas, ombros e coluna vertebral, e a prevalência é de mais de 30% em adultos com idade superior a 50 anos.
#triggerpoints #dryneedling #PhysicalTherapists
Por Ft. Óscar Caridade 07 nov, 2019
Dry Needling é uma técnica que consiste na utilização de uma agulha de punção seca, com o objetivo de penetrar a pele e a musculatura superficial ou profunda, com a intenção de, mecanicamente, realizar a inibição de Trigger Points – Síndrome da Dor Miofascial.
Por PUG-MSK 24 out, 2019
A osteoartrose do joelho, que envolve fenómenos de degeneração na cartilagem, pode envolver a presença de dor intensa e uma significativa incapacidade. Alguns dos tratamentos não cirúrgicos mais utilizados incluem fisioterapia, medicação analgésica, anti-inflamatórios não esteroides e injeções intra-articulares como o ácido hialurónico, ozono ou PRP, com o objetivo de reduzir os sintomas e melhorar a função do joelho.
O ozono pode ser utilizado como abordagem terapêutica para o tratamento de disfunções musculares, tendinosas e articulares, podendo ser injetado por meio peri-articular, intra-articular, para-vertebral, peri-tendinoso entre outros. É considerado um tratamento satisfatório, com baixo risco de complicações e alta taxa de sucesso devido ao seu efeito anti-inflamatório e analgésico. Por outro lado, a viscossuplementação é uma injeção segura de ácido hialurónico que permite modificar as propriedades do líquido sinovial, possibilitando um aumento da mobilidade e uma diminuição da dor. Por fim, o PRP é um método que se baseia na extração de fatores de crescimento plaquetários, através de um protocolo rigoroso, que são posteriormente injetados no local da lesão, com o objetivo de acelerar o processo de regeneração dos tecidos.
A literatura demonstra que as injeções intra-articulares de plasma rico em plaquetas reduzem significativamente a dor do joelho, aumentam a função física e a WOMAC scores. Estes benefícios foram observados aos 3, 6 e 12 meses após o tratamento. Além disso, o plasma rico em plaquetas demonstrou ser superior na diminuição da dor e no aumento da função do joelho que outras injeções intra-articulares, como o ácido hialurónico ou o ozono, aos 3 e 12 meses após a injeção.
O efeito a curto prazo da injeção de plasma rico em plaquetas indica que este método influência temporariamente o líquido articular na articulação, sem afetar a estrutura articular ou a progressão da osteoartrose.
Desta forma, a revisão sistemática e meta-análise de Shen e seus colaboradores demonstrou que as injeções de plasma rico em plaquetas intra-articulares são um método mais eficaz no tratamento da patologia articular do joelho em termos de alívio da dor e melhoria da função do joelho aos 3, 6 e 12 meses de follow-up comparativamente a outras injeções, nomeadamente injeções placebo, ácido hialurónico, ozono ou corticoesteróides.
Gostava de ter a possibilidade de treinar e aperfeiçoar as suas competências técnicas?
Com o nosso curso de Procedimentos Ecoguiados Msk - Treino em Cadáver, damos a oportunidade aos nossos formandos de praticarem para melhorarem as suas competências e sentirem-se mais confiantes juntos dos seus utentes.
Mais informações aqui: https://www.pug-msk.pt/intervencionismomskcadaver
Shen, L., Yuan, T., Chen, S., Xie, X., & Zhang, C. (2017). The temporal effect of platelet-rich plasma on pain and physical function in the treatment of knee osteoarthritis: systematic review and meta-analysis of randomized controlled trials. Journal of orthopaedic surgery and research, 12(1), 16.
Dr. José Manuel Sánchez, Fisioterapia Invasiva Ecoguiada, Criador da técnica EPI®
Por Dr. José Manuel Sánchez 19 out, 2019
O Dr. José Manuel Sanchéz, criador da técnica Electrólise Percutânea Intratecidular - EPI® esclarece, neste artigo, a necessidade de uma correta dosificação da técnica. Veja no nosso blog a opinião do maior especialista na área com mais de 20 anos de experiência e que já formou milhares de fisioterapeutas na técnica.
Por PUG-Msk 17 out, 2019
A tendinopatia do tendão de Aquiles (TA) representa entre 6 a 18% de todas as lesões que afetam os corredores, havendo uma maior prevalência em homens de meia idade.
A porção média do TA, localizada a cerca de 5/6cm da base do calcâneo, é a zona maioritariamente afetada. Na tendinopatia do TA, podemos encontrar uma degeneração do tendão, presença de rupturas tendinosas, bem como, a presença de neoneurovascularizações.
Quando existe uma neoneurovascularização no TA, na avaliação por imagem, podemos identificar a presença de Power Doppler positivo, ou seja, um sinal Doppler activo no lado ventral do TA. A neoneurovascularização pode ser definida como uma proliferação da rede nervosa e sanguínea (gordura de Kager’s), para o interior do tendão. Apesar de não existir uma associação absoluta entre dor e a neoneurovascularização intratendinosa, a evidência científica indica um nível de dor mais elevado em tendões hipervascularizados em comparação com tendões hipovascularizados.
A literatura indica que os exercícios excêntricos são o método mais utilizado para a prevenção e tratamento de tendinopatias do TA crónicas, existindo outras abordagens terapêuticas como a terapia com gelo, terapia manual, modificação de cargas, anti-inflamatórios não esteroides e analgésicos.
O Plasma rico em plaquetas (PRP) é habitualmente usado na prática clínica para o tratamento de tendinopatias crónicas. Esta técnica envolve a utilização de uma variedade de fatores de crescimento que são injetados no local lesado, promovendo o processo de recuperação, diminuindo a dor e aumentando a funcionalidade. O PRP é autólogo e preparado no momento do tratamento, sendo uma técnica extremamente segura para os pacientes.
Por outro lado, o High-Volume Injection (HVI) envolve a infiltração de uma grande quantidade de soro fisiológico entre a interface profunda do TA e a gordura de Kager´s. Esta técnica promove a separação e destruição da neoneurovascularização na adesão entre o tendão e o tecido peritendinoso, levando à diminuição da dor e da sensibilização local.
Segundo Boesen e seus colaboradores, o tratamento de tendinopatias crónicas do TA com um programa de exercícios excêntricos combinado com PRP ou HVI apresenta ser mais eficaz na redução da dor, na redução da espessura do tendão e na vascularização intratendinosa comparativamente a um programa de exercícios excêntricos isolado. O HVI parece ser uma alternativa mais eficaz no tratamento a curto prazo, enquanto que o PRP apresenta ser uma alternativa mais vantajosa a médio/longo prazo.
Gostava de saber mais sobre o Plasma Rico em Plaquetas e o High Volume Injection no tratamento das tendinopatias?
Em março de 2020, no curso de procedimentos invasivos ecoguiados em cadáver irão ser abordadas estas e outras intervenções para patologia músculo-esquelética.
Mais informações aqui: https://www.pug-msk.pt/intervencionismomskcadaver
Optimização da regeneração após lesão muscular, mediante a aplicação da técnica EPI®
Por Ft. Óscar Caridade 07 set, 2019
Hoje em dia, sabemos que na presença de uma lesão muscular, como resposta a sinais relacionados com dano nas miofibrilas e consequente infiltração de células inflamatórias (neutrófilos e macrófagos), existe uma necrose das células musculares.
Ecografia de uma tendinopatia rotuliana crónica e neoneurovascular
Por Dr. José Manuel Sánchez 01 ago, 2019
Nas tendinopatias degenerativas, para além da degradação de colagénio, degeneração mixóide, défice de mobilidade fluídica da matriz extracelular (MEC), e da morte celular, devemos considerar a importância de outra característica patogénica. Existe, de forma significativa, uma hipóxia (baixo teor de oxigénio), no tendão que provoca uma resposta inflamatória persistente.
O factor de transcripção induzido por hipóxia (HIF – 1), é o elemento central na resposta dos tenócitos ao baixo teor de oxigénio no tendão. Em condições normais este factor é muito instável, sendo degradado pelas proteases, no entanto, na ausência de oxigénio este factor fica mais estável e vai regular a expressão de inúmeros genes implicados em funções como angiogénese, a inflamação e o metabolismo energético. Por consequência, na presença de uma diminuição do teor de oxigénio, o tendão irá responder com um aumento da produção e secreção de citocinas, cuja função principal seria estimular a vascularização local. Em resultado disto, acontece uma resposta inflamatória persistente no tecido degenerado, encontrado habitualmente nas tendinopatias. Esta resposta inflamatória persistente associada a hipóxia é estimulada pela expressão de citocinas pró-inflamatórias como a IL – 1B e a TNF – Alfa. Por outro lado, o aumento da IL – 6, parece não ser influenciado pela HIF – 1, podendo ser relacionado com o factor nuclear KappaB (NF – kb), outro factor de transcripção sensível à hipóxia, sendo responsável pelo início de respostas imunológicas relacionadas com o stress mecânico por uma sobrecarga mecânica do tendão.
A Electrólise Percutânea Intratedicular ou EPI® (técnica criada pelo Dr. José Manuel Sánchez), é uma intervenção bioreguladora que permite uma redução significativa da inflamação e da hipóxia nos tenócitos, mas também nos macrófagos, permitindo uma correcta diferenciação do fenótipo M1 ao fenótipo M2 que é pró-regenerativo. Desta forma, nas tendinopatias estamos a enfrentar um problema pato-imuno-biológico, onde os macrófagos agravam a tendinopatia. Em primeiro lugar, com a presença de hipóxia existe um aumento da produção de MCP – 1 e MIF – 1 (evitam que os macrófagos abandonem os tecidos), contribuindo para o recrutamento e consequente estado de inflamação persistente e, em segundo lugar, esta resposta inflamatória persistente associada a uma sobreexposição de MIF – 1 não irá permitir a possibilidade de diferenciação de M1 a M2 ou, caso exista, esta tenderá a ser mínima.
Autor: Dr. José Manuel Sánchez
Doutorado em Fisioterapia “Cum Laude”. Director da Clínica CEREDE
Criador da técnica EPI®, consultor e formador nos clubes de futebol: Barcelona, Newcastle United, Real Madrid, Atl Madrid, FC Porto, Inter Milan, Juventus, SL Benfica, Empoli, Udinese, Paris Sant Germain e Villarreal.
Formador do curso de Electrólise Percutânea Intratecidular do PUG - MSK®
Show More
Share by: